| By: Julie Eibensteiner PT, DPT, CSCS It started like many stories we’ve seen before… A Laurus athlete feeling shin pain, told it was probably “just shin splints.” This athlete has been with us since her early high-school years. She first came to Laurus for a hip injury, then stayed for performance training throughout her entire high-school career. By the time she left for college, she’d gone multiple full seasons healthy and strong. Now a Division I athlete, she started noticing sharp shin pain that didn’t feel like her usual post-practice soreness. She did the right thing – she reached out. Even though she was hundreds of miles away, she connected with us to talk things through after the pain wasn’t improving. She wasn’t looking to override her college medical team – just to get another perspective and a little guidance on how to communicate her concerns effectively. That small step made a big difference.Imaging later confirmed a grade 4 anterior tibial stress injury – advanced on the bone-stress continuum (grade 4b shows a fracture line), just one step from the dreaded “black line.” That’s the point where the tibia can completely fracture and sometimes requires surgical stabilization. Because she spoke up early, she avoided that outcome. She’s now on a structured recovery plan — often 4–6 + months for this type of injury — with Laurus continuing to support her and stay in touch with her college medical and performance staff as part of her broader team. When Shin Splints Are — and Aren’t — Safe to Train Through Most “shin splints” (medial tibial stress syndrome) are lower-risk. They often improve with smart load management, footwear and nutrition adjustments, and a gradual progression back to running. But not all shin pain is created equal. Focal, sharp pain on the front (anterior) of the shin that worsens with impact can signal a high-risk anterior tibial stress fracture – and that’s when continuing to play isn’t appropriate. Why Location and Timing Matter Bone-stress injuries fall on a spectrum: Low-risk areas (like the fibula or posteromedial tibia) typically heal well with rest and a careful ramp-up. High-risk areas (like the anterior tibial shaft, femoral neck, navicular, or 5th metatarsal) face higher complication rates because of limited blood flow and high tension forces. Because symptoms can fade before bone strength fully returns, the return-to-sport process needs to be criteria-based and gradual. Ramping up too quickly can lead to setbacks or even new issues on the opposite side as the body compensates. The Takeaway If something feels different or isn’t responding the way it normally does, trust that instinct and get it checked. A quick conversation can prevent months of rehab or even surgery. We’re proud of this athlete for trusting her instincts, speaking up, and showing how proactive communication keeps performance and health aligned even from miles away. |
![]() |
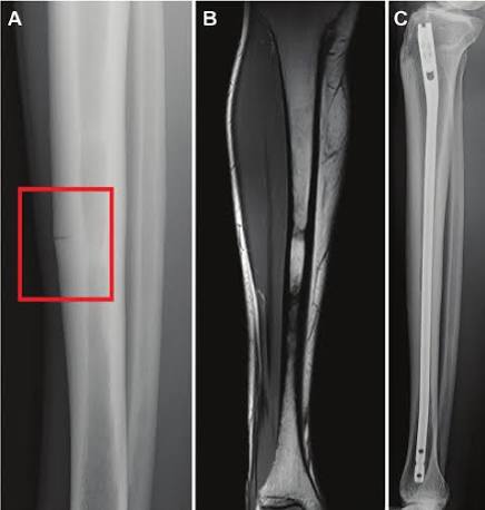
| Example imaging, not from this athlete, showing the classic “dreaded black line” in the anterior tibia. Sources: Fredericson MRI Grading System for Tibial Stress Injuries Fredericson M, Bergman AG, Hoffman KL, Dillingham MS. Tibial stress reaction in runners: correlation of clinical symptoms and scintigraphy with a new magnetic resonance imaging grading system. International Journal of Sports Medicine. 1995;16(6):452–456. Reaffirmed in: Warden SJ et al. Stress fracture injury classification and grading system using MRI. Journal of Orthopaedic & Sports Physical Therapy. 2019;49(9):653–663. High- vs Low-Risk Bone-Stress Injury Site Classification Arendt EA, et al. Consensus statement on classification, diagnosis and management of bone stress injuries: a modified Delphi approach. British Journal of Sports Medicine. 2021;55(20):1106–1115. Consensus Guidelines for Management and Return-to-Sport Progression Nattiv A, et al. Stress fracture consensus statement. British Journal of Sports Medicine. 2013;47(9):469–475. Warden SJ, et al. Stress fractures: pathophysiology, epidemiology, and risk factors. Clinics in Sports Medicine. 2019;38(4):481–494. |

